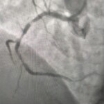
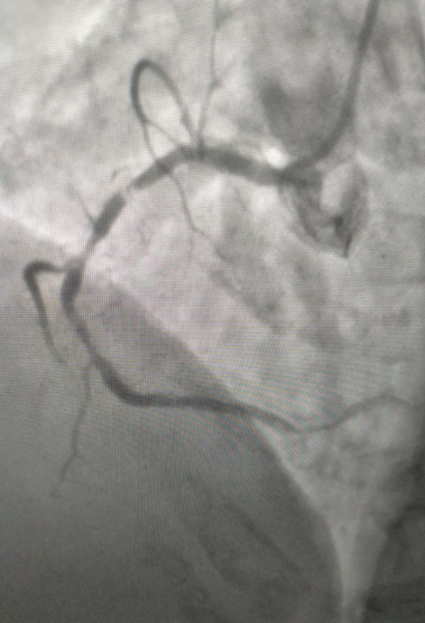
Successfully performed the first RiForm PRO case in Central India by Dr. Sarita Rao at Apollo Hospital for a balloon-uncrossable, heavily calcified lesion. With no gas requirement, dual cutting action, and combined orbital & rotational technology, it enables precise and effective plaque modification. A single-operator friendly, Made in India 🇮🇳 innovation for complex coronary interventions.
Â
Â
Â


